发布日期:2015年6月11日 15:43:34 点击率:次

42岁女子因吸毒致幻觉
害怕被抓吞下近10把剪刀
2015-05-14 10:37:41

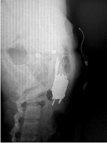
曲颖的x光片显示,她的体内有一捆剪刀。

x光片显示,一捆剪刀清晰可见。
5月13日上午,42岁的曲颖(化名)躺在省直中医院普外科的病床上。11日晚上,其因腹痛被路人发现后拨打120,送往医院救治。X光片显示,其中下腹部横亘着一捆剪刀,曲颖称自己为了躲避被抓,便吞下了这些剪刀,大概有10把。
丈夫吸毒,自己好奇染上毒瘾
在和记者交谈时,曲颖的思维很清晰,表达也很顺畅,对于自己的经历,她并不避讳,“我沾染上毒瘾,是因为我老公。”
1994年,曲颖中专毕业之前就经同学介绍认识了丈夫,“他搞冰箱、电视维修的,因为互相有感觉就在一起了,后来我发现他吸毒,我反对过,没用,后来我也好奇,尝试了一次,接下来就一发不可收拾了。”
后来,他们结婚了,“他因扒窃坐过牢,现在还在坐牢。”曲颖毕业后分配到一家工厂,“2006年,我下岗了,就到乡下去养鸡,断断续续干了五六年。”
后来,曲颖去了广州等地打工,“2011年7月末我吸毒被抓,被强制戒毒,直到2013年6月末被放出来。”
“出来之后,我没有工作,四处游荡,生活靠我妈、哥哥姐姐接济。”在表达自己为什么吞下剪刀时,曲颖的表情显得有些痛苦,“无论我走到哪里,都有人举着手机拍我,天天都有人追我,让我有些生不如死,感觉警察在抓我,才吞下了这么多的剪刀。”
曲颖称剪刀是在路边商店买的,5元钱一把,“大概在几天前,我开始吞,大概吞了10把,吞前我把剪刀掰成两半,一半一半吞下去的。”她称还曾吞过刀片,后来自然排出了体外。
5月12日晚,曲颖一个人在四桥下被路人发现,“当时我肚子痛,有个路过的人看我很痛苦,就帮我拨打了120。”
剪刀长约12厘米,需手术取出
当天晚上,省直中医院急诊科对曲颖进行了抢救,随后送往普外科住院治疗,从X光片可见一捆剪刀横亘在其中下腹部,剪刀长近12厘米。医生诊断腹部肠管少量积气,未见明显液气平面和肠管扩张。曲颖身无分文,普外科医生为她进行输液治疗。
昨天下午,记者联系上了曲颖的姐夫王先生,他证实曲颖有吸毒史,且被强制戒过毒,“以前她在乡下养鸡,都是我帮助她弄的,她每个月都向我年迈的岳母娘要钱。”
“医生称需要手术才能拿出剪刀。”王先生称。对于曲颖吞食剪刀,株洲市中心医院急诊科主任童伟林称,有可能造成食管损伤,如刺破了食管大血管,可能导致失血性休克,甚至死亡。曲颖入院前腹痛难忍,很有可能是剪刀造成了消化道损伤。
对于曲颖称到处有人拍她,有人追自己,株洲市中心医院临床心理科主任汤信海表示,这很有可能是因为吸毒所致的幻觉表现,其出现了被害妄想,“患者觉得自己被跟踪、被监视,需要治疗。”
“对于吸毒,我后悔,对于亲人,我只有内疚。”曲颖淡然的脸上露出一丝微笑,“等做完手术,我想去找份工作。”《长株潭报》记者杜方江株洲报道
上一篇:杭州破获首起互联网贩毒案 网店挂羊头卖毒品 2015.5.13 (2015/6/11)
下一篇:吉林两名少女被哄骗吸毒 遭强奸并被毁容 2015.5.14 (2015/6/12)

沪公网安备31010602001802号